Plastic & Reconstructive Surgery

Double Fascicular Nerve Transfer

Presented at ASRM Cadaver Course 2023

Latissimus Dorsi Flap

Presented at Flap Course

American Society for Surgery of the Hand

Targeted Muscle Reinnervation

Surgical Technique in an Above Knee Amputation

Published to Neurosurgical Focus Journal 2023

Umbilical Hernia Repair using Mesh Strips

Associated manuscript accepted for publication to PRS GO

Microtia Reconstruction

Associated manuscript published to Plastic and Reconstructive Surgery - CME 2024

Breast Reduction

Overview of the basics for Junior Residents

Associated manuscript submitted for publication to Plastic and Reconstructive Surgery Journal

Components Separation

Perforator-sparing components release through lateral incisions

Presented at Americas Hernia Society, Sept 2022

Abdominoplasty with Direct Lipectomy

Associated manuscript in progress

Chondrolaryngoplasty

Associated manuscript Accepted for Publication to Plastic and Reconstructive Surgery Journal

Medical Device

Medical Device Advertisement

Paid-partnerships to market medical innovation

Dermatology

Rapid Joint Screening

Published in the Society for Pediatric Dermatology and Pediatric Dermatology Journal

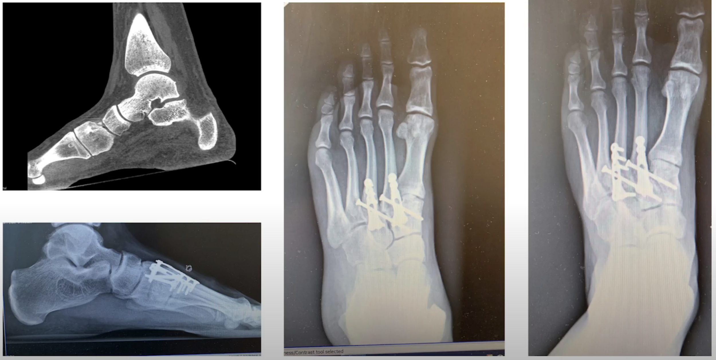
Orthopaedic Surgery

Homolateral Lisfranc in a College Quarterback

Presented at American Orthopaedic Foot & Ankle Society Conference

Intracept Procedure Technique

Associated manuscript submitted for publication to Clinical Spine Surgery

cardiac Surgery

Algorithmic Approach to Mitral Valve Repair

Podium Presentation at the AATS Mitral Conclave National Conference

Modified CryoMaze III to treat Atrial Fibrillation

Presented at the AATS Mitral Conclave National Conference


Work with me